Limfocytowe śródmiąższowe zapalenie płuc (LIP)

23 stycznia 2026 / Dr n. med. Katarzyna Skórka

Limfocytowe śródmiąższowe zapalenie płuc (LIP)

Limfocytowe śródmiąższowe zapalenie płuc (LIP) stanowi jedną z odmian śródmiąższowych chorób zapalnych płuc, które nie są spowodowane zakażeniami bakteryjnymi, wirusowymi ani grzybiczymi. Schorzenie to rzadko pojawia się jako choroba izolowana.

Zazwyczaj LIP towarzyszy innym jednostkom chorobowym, przede wszystkim chorobom tkanki łącznej, zwłaszcza zespołowi Sjögrena. Często współwystępuje również z zaburzeniami układu odpornościowego, w tym pierwotnymi i wtórnymi niedoborami odporności, chorobami autoimmunologicznymi tarczycy, miastenią oraz reakcjami na leki. U dzieci bywa często związane z zakażeniem wirusem HIV.

LIP jest schorzeniem o bardzo niskiej częstości występowania. Jeszcze rzadziej pojawia się w postaci niezwiązanej z innymi chorobami. Co więcej, LIP może wystąpić w każdym wieku. U osób dorosłych występuje niezależnie od statusu HIV, dotyczy najczęściej osób w średnim wieku 52–56 lat. Kobiety są dwukrotnie bardziej narażone na tę chorobę, najprawdopodobniej ze względu na jej związek z chorobami autoimmunologicznymi, takimi jak zespół Sjögrena, który występuje znacznie częściej u kobiet.

LIP stanowi istotną przyczyną patologii płuc u dzieci zakażonych wirusem HIV, ustępując jedynie zakażeniu Pneumocystis, i stanowi stan definiujący AIDS w około 50% tych przypadków.

Przyczyny

Patogeneza LIP może obejmować mechanizmy autoimmunologiczne lub stanowić niespecyficzną odpowiedź immunologiczną na infekcje wirusowe, takie jak wirus Epsteina-Barra (EBV), HIV lub inne czynniki wirusowe.

Etiologia wirusowa jest sugerowana przez częste występowanie tej choroby w stanach obniżonej odporności, w tym HIV/AIDS, złożonym niedoborze odporności ioraz agammaglobulinemii. Wykrycie DNA wirusa EBV, RNA wirusa HIV i ludzkiego wirusa białaczki komórek T (HTLV) typu 1 w tkance płucnej pacjentów z LIP podkreśla potencjalny wpływ tych wirusów.

Związek LIP z zaburzeniami autoimmunologicznymi i limfoproliferacyjnymi, w tym z zespołem Sjögrena, toczniem rumieniowatym układowym, reumatoidalnym zapaleniem stawów, zapaleniem tarczycy Hashimoto, miastenią, niedokrwistością złośliwą, niedokrwistością autoimmunohemolityczną, przewlekłym aktywnym zapaleniem wątroby i powszechnym zmiennym niedoborem odporności (CVID), potwierdza etiologię autoimmunologiczną.

Większość postaci limfatycznego śródmiąższowego zapalenia płuc klasyfikuje się jako wtórne, gdy występują one w połączeniu z innymi wyżej wymienionymi schorzeniami. Kiedy nie można zidentyfikować przyczyny, klasyfikuje się je jako pierwotne LIP.

Diagnostyka

Rozpoznanie LIP rozpoczyna się od wywiadu i badania fizykalnego pacjenta. Następnie wykonuje się badania dodatkowe, głównie zdjęcie RTG płuc oraz wysokorozdzielczą tomografię komputerową (HRCT) klatki piersiowej.

Obraz radiologiczny zależy od stopnia zaawansowania choroby. W klasycznym badaniu RTG klatki piersiowej często nie stwierdza się istotnych odchyleń, natomiast w badaniu HRCT widoczne są zmiany guzkowe, torbielowate o średnicy od 1 do 30 mm, obszary o charakterze „mlecznego szkła” oraz obraz siateczkowaty. Zmiany te lokalizują się głównie w dolnych płatach płuc, a często towarzyszy im powiększenie węzłów chłonnych śródpiersia. W zaawansowanym stadium choroby przeważa obraz plastra miodu, jednak progresja prowadząca do znacznej przebudowy miąższu płuc dotyczy około 30% chorych.

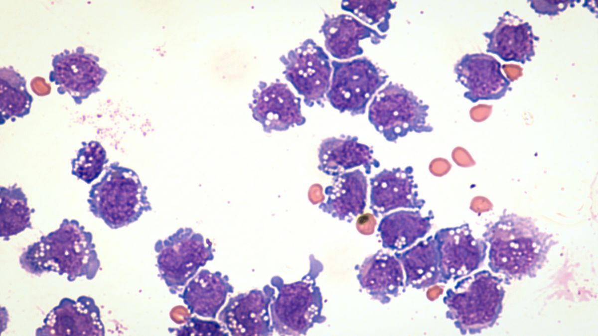
Kolejnym etapem mogą być procedury diagnostyczne takie jak bronchoskopia z płukaniem oskrzelowo-pęcherzykowym (BAL), podczas której pobiera się próbkę tkanki płucnej do badania histopatologicznego. Czasem wycinek pobiera się podczas zabiegu chirurgicznego. Wykonanie biopsji płuc jest koniecznie do postawienia rozpoznania z wykazaniem rozszerzenia przegród pęcherzykowych spowodowanego naciekaniem limfocytów i innych komórek odpornościowych (komórek plazmatycznych, immunoblastycznych, histiocytowych). Nacieki pojawiają się sporadycznie wzdłuż oskrzeli i naczyń, ale najczęściej wzdłuż przegród pęcherzykowych. W celu odróżnienia śródmiąższowego zapalenia płuc od pierwotnych chłoniaków należy wykonać barwienie immunohistochemiczne i cytometrię przepływową tkanki. W przypadku limfatycznego śródmiąższowego zapalenia płuc naciek jest poliklonalny (zarówno komórki T, jak i komórki B), podczas gdy inne chłoniaki powodują nacieki monoklonalne. Inne częste objawy to centra germinacyjne i wielojądrzaste komórki olbrzymie z ziarniniakami bez martwicy.

Ponadto zlecane są rutynowe badania laboratoryjne oraz elektroforeza białek surowicy (SPEP), ponieważ około 80% pacjentów może mieć dysproteinemię (nieprawidłowości w białkach surowicy), najczęściej poliklonalną gammopatię lub hipogammaglobulinemię. Inne badania laboratoryjne (np. przeciwciała przeciwjądrowe [ANA], anty-Ro/SSA, anty-La/SSB, czynnik reumatoidalny [RF], poziomy immunoglobulin, w tym podklasy immunoglobulin, badania w kierunku HIV, są wykonywane w celu zidentyfikowania potencjalnych przyczyn wtórnego śródmiąższowego zapalenia płuc.

Objawy i przebieg kliniczny

Objawy limfocytowego śródmiąższowego zapalenia płuc najczęściej obejmują suchy, nieproduktywny kaszel oraz duszność pojawiającą się podczas wysiłku, która narasta stopniowo w ciągu wielu miesięcy. Rzadziej występują takie dolegliwości jak utrata masy ciała, nocne poty, stan podgorączkowy lub gorączka, bóle stawów, a u około jednej piątej pacjentów obserwuje się powiększenie ślinianek.

Badanie fizykalne może wykazać rzężenia płucne. Rzadziej obserwowane objawy to powiększenie wątroby i śledziony, zapalenie stawów i powiększenie węzłów chłonnych, które mogą wskazywać na współistniejącą lub alternatywną diagnozę. Rzadko występują bóle opłucnowe i krwioplucie. Dodatkowo, mogą występować objawy, takie jak kseroftalmia (suchość oczu) i kserostomia (suchość w ustach).

Naturalny przebieg i rokowanie w przypadku LIP u dorosłych nie są dobrze poznane. Może dojść do samoistnego ustąpienia objawów, ustąpienia po leczeniu glikokortykoidami lub innymi lekami immunosupresyjnymi. Jednak w wyniki progresji choroby może dojść do rozwoju chłoniaka lub rozwoju zwłóknienia płuc z niewydolnością oddechową. Najczęstsze przyczyny zgonów to zakażenia, rozwój chłoniaka (5%) i postępujące zwłóknienie.

Leczenie

Strategie postępowania terapeutycznego różnią się w zależności od objawów. Podstawę leczenia stanowią leki immunosupresyjne, głównie glikokortykosteroidami podawane ogólnoustrojowo. Czasami stosuje się terapię cytotoksyczną, a na podstawie wyników gazometrii krwi i/lub oksymetrii wysiłkowej można rozważyć suplementację tlenem. W sytuacji, gdy LIP współistnieje z chorobą tkanki łącznej, sposób terapii jest taki sam jak w leczeniu choroby podstawowej. W niektórych przypadkach schorzenie może ulec samoistnemu ustąpieniu.

Pacjenci z LIP powinni pozostawać pod regularną opieką pulmonologiczną ze względu na możliwość rozwoju chłoniaka. Natomiast osoby, u których LIP współistnieje z innymi schorzeniami, mogą być monitorowane przez lekarzy specjalizujących się w leczeniu choroby podstawowej (np. reumatologa w przypadku zespołu Sjögrena), którzy w razie pogorszenia stanu płuc skierują pacjenta ponownie do pulmonologa na badania kontrolne.

Bibliografia:

https://emedicine.medscape.com/article/299643-overview#a8,

https://www.msdmanuals.com/professional/pulmonary-disorders/interstitial-lung-diseases/lymphoid-interstitial-pneumonia-lip,

https://www.mp.pl/pacjent/pulmonologia/choroby/150482,limfocytowe-srodmiazszowe-zapalenie-pluc,

https://www.termedia.pl/pulmonologia/Limfocytarne-srodmiazszowe-zapalenie-pluc-LIP,32610.html.